疱疹病毒(herpes virus,HSV)Herpes这个字源于希腊文,意思是蛇样爬行,疱疹病毒是指带状疱疹病毒。
爬行类、鱼类、蛙类和人体内的疱疹病毒形态相似,但抗原性、基因组DNA中G C含量和病毒DNA的序列均不相同。
病毒颗粒由162个有。

病毒性疱疹(herpes)分单纯疱疹和带状疱疹,单纯疱疹(herpes simplex)是一种单纯疱疹病毒所致的皮肤病,好侵犯于皮肤粘膜交界处,表现为局限性簇集性小疱,带状疱疹(herpes zoster)则是由疱疹病毒引起的,沿一侧周围神经带。
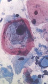
单纯疱疹由单纯疱疹病毒(分为Ⅰ型和Ⅱ型)引起,人体是其唯一自然宿主,当机体抵抗力下降时,促进本病发生,病理上表现为表皮内水疱、表皮坏死、多核上皮巨细胞、嗜酸性核内包涵体和显著中性白细胞及淋巴细胞炎症浸润。
带状疱。

单纯疱疹病毒(herpes simplex virus 简称HSV)存在于病人、恢复者或者是健康带菌者的水疱疤液、唾液及粪便中,正是因为这样,所以检查单纯疱疹病毒是一个很常见的检查。
单纯疱疹病毒感染 其实很多人都会想问,单纯疱疹病毒感染是什么?其实单。