melanoma的意思是黑色素瘤。
例句:1、The incidence of cutaneous melanoma on Crete,Greece.希腊克利特岛皮肤黑色素瘤的发病率。
2、BRAF mutation in Chinese melanoma patients.中国黑色素瘤患者BRAF基因突变分析。
3、Expression。

麦拉宁色素原本是用以保护皮肤的人体细胞分泌物。
色素母细胞分泌麦拉宁色素,当紫外线(B波、A波)照射到皮肤上(B波即UVB作用于皮肤基底层),肌肤就会处于“自我防护”的状态,即由紫外线刺激麦拉宁色素,激活酪氨酸酶的活性。
第一种类型:浅表扩展型。
这种类型约占恶性黑色素瘤患者总数的70%,且瘤体可沿皮肤的浅层向外扩展生长,然后向皮肤深层浸润,医学上将瘤体向皮肤真皮层和皮下组织深层浸润的阶段称之为“垂直发展期”,这种垂直发展易于肿瘤扩散。
第二种。

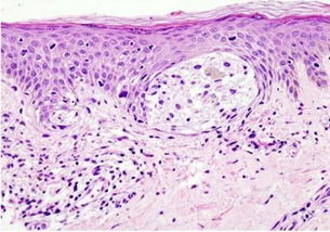
黑色素瘤(melanoma)又称恶性黑色素瘤,是一种能产生黑色素的高度恶性肿瘤。
大多见于30岁以上成年人,发生于皮肤、粘膜和内脏器官。
黑色素瘤的预后多数较差,晚期可有淋巴道及血液转移。
黑色素瘤和痣有一定相关性,60%的恶。