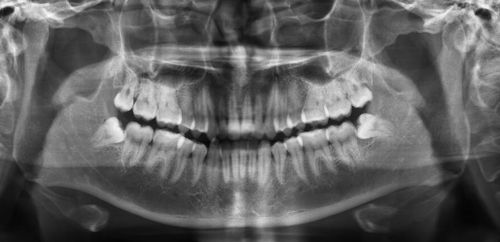
智齿可能引发的问题 智齿是否引起口腔问题取决于几方面因素,包括颌骨的大小和智齿的生长方式。
智齿通常不能正位萌出与前面的牙齿之间易形成食物滞留且不易清洁,可以导致龋坏、疼痛和肿胀等,也可能没有任何症状。
拔除智齿—。

智牙又称智慧牙,是人18岁-22岁才开始萌出的1颗牙齿,通常在所有牙列最后方开始萌出,所以又称为第3磨牙。
如果从中间开始数,是第8颗牙齿,但是了解智牙最好的方法还是从后面开始数。
如果后面有智齿,不是智齿先天缺失,。
事实其实是需要拔的,但是如果你的支持早上做的特别整齐,并没有挤压到别的牙齿也没有发炎,这个时候你就可以不拔智齿。
毕竟智齿还是有一定的用处的,比如如果你的大牙被虫蛀坏了,这个你就可以将大牙拔掉,然后就可以戴上牙。

还是由于食物过于精细的原因,我们现在已经不太需要智齿来帮助我们咀嚼消化食物了,即它的功能性差不多已经完全丧失了.而它生长的位置,现代人又不能提供出来,所以它就不按理出牌,动不动就长错地方顶到别的正常牙齿,或者侵犯。